"Ta muốn cưỡi cơn gió mạnh, đạp làn sóng dữ, chém cá tràng-kình ở Biển Đông, quét sạch bờ-cõi để cứu dân ra khỏi nơi đắm-đuối chứ không thèm bắt chước người đời cúi đầu, cong lưng làm tỳ-thiếp cho người ta." ** Triệu Thị Trinh **

 

Một Thuốc Mới Cho Bệnh Alzheimer

Vắn tắt, người càng lớn tuổi, số lượng tế bào thần kinh giảm và khả năng về tâm trí sẽ giảm đi. Một số triệu chứng nhẹ như hay quên, hay lẫn lộn có thể chấp nhận như là sự lão hoá bình thường. Khi các triệu chứng này gia tăng, tiến triển đến mức ảnh hưởng đến cuộc sống thường nhật, lúc đó người ta dùng từ "dementia" hay "mất trí" theo nghĩa đen, hay bịnh lẫn. Có nhiều nguyên nhân cho dementia. Bịnh Alzheimer là nguyên nhân của phần lớn người mắc dementia. Một số nguyên nhân dementia  chữa được, chưa có thuốc thay đổi được bịnh Alzheimer (disease-modifying drugs), chỉ có những thuốc giúp giảm triệu chứng thôi (symptomatic treatment). Ngày 7 tháng 6, 2021 Cơ quan qủn trị thuốc và thực phẩm Hoa Kỳ chấp thuận cho dùng ngoài thị trường một dược phẩm được chứng minh làm giảm chất amyloid - beta trong não bộ, với mục đích  làm chậm lại diễn biến giảm khả năng tri thức của bệnh nhân Alzheimer tuy một số chuyên gia còn nghi ngờ về hiệu nghiệm của thuốc trên lâm sàng. (Bài này được cập nhật để thêm thông tin về thuốc Aduhelm vừa mới được FDA phê chuẩn và vắc xin chống Alzheimer).

“Chứng mất trí” (dementia) là chứng làm mất toàn bộ khả năng nhận thức bao gồm sự suy giảm trí nhớ kèm theo một hay nhiều trong số những chứng sau đây: mất ngôn ngữ, mất phối hợp động tác, mất nhận thức, hoặc rối loạn khả năng lên kế hoạch tổ chức và suy tư trừu tượng. Nó không bao gồm sự mất khả năng thực hiện chức năng trí tuệ do ý thức bị che khuất (như trong chứng bị mê sảng), trầm cảm, hoặc rối loạn chức năng tâm thần khác (sa sút trí tuệ giả/pseudodementia). Nguyên nhân gồm rất nhiều tình trạng, một số có thể đảo ngược và một số tiến triển ( progressive) dẫn tới tổn hại não lan rộng hoặc loạn chức năng. (1)

Trước thế kỷ thứ 19, người ta xem tình trạng ‘lú lẫn’ như là một hiện tượng tự tự nhiên của tuổi già. Với tiến bộ khoa học kỹ thuật, đời sống con người được kéo dài hơn trước và tỉ số ‘bịnh lẫn’ ở người già xuất hiện nhiều hơn. Tiến bộ về  y khoa cũng giúp người ta hiểu nhiều hơn về về sinh lý và bệnh tật của hệ thần kinh. Năm 1906 bác sĩ tâm thần người Đức tên Alois Alzheimer  lần đầu tiên công bố trường hợp  một người phụ nữ 50 tuổi bị bịnh lẫn kéo dài 5 năm. Khi bệnh nhân chết, trong não bộ có những mảng (plaque) và những sợi rối (tangle). Năm 1910 bịnh lẫn 21bhvhntn1này được đặt tên là bệnh Alzheimer (mặc dù vào khoảng thời gian đó cũng có một bác sĩ tâm thần khác người Đức tên là Oskar Fischer  cũng nhận xét những mảnh và những sợi hiện diện trong bộ óc của một số người già bị lẫn). Vào thập niên 1960, nhờ các kính hiển vi điện tử người ta quan sát chi tiết hơn các mảng và sợi rối này. Thập niên 1970, các CT scan cho thấy não bộ bệnh nhân bị teo lại (brain atrophy) và đến thập niên 1980, người ta chứng minh các mảng và sợi rối trên là 2 loại protein đặc biệt: “amyloid-beta” (Aβ) và “tau”.(fig 1)

Hiện nay, chẩn đoán  của bệnh dementia hay bệnh  Alzheimer được thực hiện bằng cách đánh giá trên lâm sàng; tâm lý-thần kinh (neuropsychological testing) về trí nhớ, ngôn ngữ, chức năng thị giác-không gian/visuospatial function, chức năng hành sử, xử lý/ executive function ; và thần kinh (neurological). Đánh giá cấu trúc thần kinh bằng khoa hình ảnh (structural neuroimaging)  từ trước đến nay dựa trên các đặc điểm không đặc hiệu như teo não bộ (brain atrophy, figure 2, source NIH: Severe AD=Bệnh Alzheimer nặng)), là một đặc điểm xuất hiện muộn trong tiến triển của bệnh. Gần đây, một loạt các phương thức hình ảnh được dùng trong khảo cứu và còn đắt tiền, bao gồm hình ảnh cộng hưởng từ cấu trúc và chức năng (MRI) và chụp 21bhvhntn2cắt lớp phát xạ positron (PET, positron emission tomography) về chuyển hóa não (brain metabolism), đã cho thấy những thay đổi đặc trưng ở não của bệnh nhân, sự hiện diện đáng kể (ở mức bất bình thường) của amyloid beta hay cả "tau" protein trong não bộ mắc bệnh Alzheimer ở trạng thái mới có triệu chứng (prodromal) và thậm chí là trước khi có triệu chứng xuất hiện (preclinical stage). (2)

Trên thực tế bác sĩ định bệnh Alzheimer bằng cách loại bỏ các khả năng khác (diagnosis by exclusion) và chỉ có định bệnh chính xác sau khi chết. Trên một thế kỷ đã qua, chúng ta hiểu rất nhiều về căn bịnh,  nhưng vẫn chưa có trị liệu nào thay đổi được tiến trình bệnh Alzheimer.

 

Nguyên nhân dementia thông thường nhất là bệnh Alzheimer (60-80%); các nguyên nhân khác gồm:

1) bệnh mạch não (vascular dementia, 10%, “multi infarct”, post stroke dementia)),

2) nhiễm trùng hệ thần kinh trung ương,

3) chấn thương hoặc các khối u não,

4) thiếu vitamin, thiếu oxy mô (tissue hypoxia), các bệnh chuyển hóa (metabolic diseases)

4) các bệnh nội tiết,

5) những rối loạn miễn dịch,

6) các bệnh prion (Creutzfeldt-Jakob Disease (CJD); bịnh bò điên hay "mad cow disease”/bovine spongiform encephalopathy (BSE)),

7) hội chứng Wernicke - Korsakoff (do thiếu vitamin B1 thường do nghiện rượu hay người cắt dạ dày để sụt cân), tràn dịch não áp suất bình thường ,

8) múa giật Huntington (Huntington's disease; di truyền, thừa hưởng gen từ cha hay mẹ, có những cử động không kiểm soát được, xuất hiện lúc 30-35 tuổi),

9)bệnh  đa xơ (multiple sclerosis) và bệnh Parkinson.

10) Trong bịnh Lewy body dementia (LBD), khó phân biệt với bệnh Alzheimer, tế bào thần kinh chứa những thể Lewy (cấu tạo bởi chất alpha-synuclein, theo tên nhà khoa học người Đức Friederich Lewy), khác với các mảng và sợi rối (plaque and tangle) của bệnh Alzheimer.

LBD có thể hiện diện trong bệnh dementia do bệnh Parkinson.

 

Các triệu chứng của bệnh Alzheimer.(3)

Triệu chứng đặc trưng của bệnh Alzheimer là mất trí nhớ, do sự thoái hóa sớm và tử vong của các tế bào thần kinh ở bộ phận hippocampus (hải mã; fig 3), quan trọng trong sự hình thành trí nhớ và việc điều hướng không gian, cũng như vỏ não entorhinal cortex ở bên cạnh, đóng vai trò trung tâm cho mạng lưới phụ trách trí nhớ, định vị  và ý thức về thời gian. Entorhinal cortex trong thuỳ thái dương (temporal lobe) là nơi đầu tiên các tế bào thần kinh bị chết trong bệnh Alzheimer. Dấu hiệu đầu tiên là quên câu chuyện vừa nói xong hay chuyện vừa mới xảy ra. Người bệnh lúc đầu  vẫn còn nhớ những chuyện xưa hơn.

21bhvhntn3Vì những vùng Hippocampus và entorhinal cortex bị thương tổn, người bệnh Alzheimer có thể bị mất phương hướng, bối rối, lẫn (confused) và có vấn đề về trí nhớ. Sau đó, triệu chứng tiến triển và thêm vào đó những khó khăn và suy yếu về vận động, về khả năng lập kế hoạch điều hành và quyết định (executive function).

Sa sút trí tuệ kiểu Alzheimer khởi phát âm ỉ nhưng tiến triển dần,  khởi phát sớm (trước tuổi 65) (early onset) hoặc khởi phát muộn (late onset, sau 65 tuổi),  và được phân loại dựa trên cơ sở các đặc điểm đi kèm gồm mê sảng, hoang tưởng, tâm trạng phiền muộn, những xáo trộn hành vi hoặc chẳng có đặc điểm đi kèm nào (có nghĩa là không có biến chứng).(1)

Bệnh học.

Bệnh Alzheimer là kết quả của sự thoái hóa và tử vong của các tế bào thần kinh gây ra bởi hai

 2 loại protein đặc biệt: amyloid-beta (Aβ) và tau, và chúng ta chưa hiểu rõ sự tương tác giữa hai protein này cần có để gây ra bệnh Alzheimer. Protein “tau” có vai trò bảo vệ các ống siêu nhỏ (microtubule) phụ trách dẫn truyền thông điệp trong trục thần kinh (axon).(fig4. Source News Medical)

21bhvhntn4

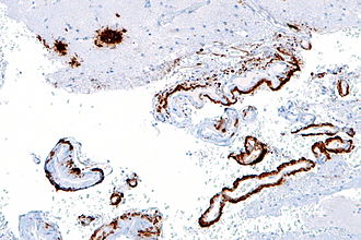
Amyloid beta (fig 5, source Wikipedia: amyloid beta màu nâu trên mô óc đã nhuộm) được cho là làm cho "protein tau" trong tế bào thần kinh trở nên bất thường - (hyperphosphorylated, với các phân tử phốt phát thêm vào).

21bhvhntn5

Fig 5

Sau đó, protein tau di chuyển từ vị trí thông thường của nó trong sợi trục thần kinh (axon) đến đuôi gai (sợi nhánh, dendrites), nơi nó làm cho các khớp thần kinh (synapse) biến mất và tế bào thần kinh bị chết. Khi tau đã được amyloid beta tuyển dụng vào các khớp thần kinh đuôi gai (dendritic synapses), nó dường như cho phép beta amyloid kích hoạt  làm mất khớp thần kinh và cuối cùng làm chết tế bào. Các protein tau bất bình thường kết tụ lại thành những cuộn rối thần kinh (Fig 3: Tau neurofibrillary tangles (NFTs)). Các phân tử protein amyloid beta thay vì được cơ thể thanh toán, kết cụm lại thành các mảng (plaques).

Cách đây nhiều năm, chúng ta nghe nói về bịnh bò điên gây ra do ăn phải thịt bò nhiễm một thực thể gây bịnh gọi là prion (“spongiform bovine encephalopathy”, hay “Mad Cow Disease”). Prion là một loại protein vô hại lúc bình thường, nhưng khi được thu xếp lại theo một hình dạng nào đó sẽ trở thành tác nhân gây bịnh, đồng thời có khả năng biến các prion khác thành bất bình thường như chính nó, do đó làm bịnh lan rộng ra (self-propagating prion forms of tau and A-β). Tựa như một bịnh truyền nhiễm. Hiện nay một số nhà khảo cứu cho thấy amyloid beta và tau tác dụng tương tự như là prion trong bịnh bò điên.Có một số trường hợp mô não người bịnh Alzheimer cấy ghép qua người khác gây ra sự xuất hiện sớm của plaque và tangles nơi người nhận.

Nói cách khác, beta amyloid (không độc hại) tuyển dụng protein “tau” để cho phép beta amyloid trở nên độc hại; độc tính có khả năng xảy ra thông qua một thụ thể dẫn truyền thần kinh cụ thể được gọi là thụ thể NMDA (theo Jürgen Götz).

Các yếu tố nguy cơ gây bệnh Alzheimer

Bệnh tiểu đường loại 2 (type 2 diabetes)

Chấn thương  sọ não

Quá nhiều rượu

Thuốc lá

Phơi nhiễm chì, thuốc trừ sâu (D D T)

Áp huyết cao, mỡ máu cao (cholesterol)

Thiếu vận động

Thiếu ngủ

Bệnh Down (Down syndrome, trisomy 21)

Bệnh Alzheimer có một số yếu tố nguy cơ di truyền (hiếm)  đã được biết:

    • Gen APP (amyloid precursor protein: protein tiền chất cho amyloid), cuối cùng dẫn đến sản xuất beta amyloid. Như nói ở trên, Aβ dường như tương tác với protein tau.
    • Đột biến trong gen presenilin (giúp chuyển đổi APP thành Aβ) và gen APP là di truyền và dẫn đến bệnh Alzheimer gia đình khởi phát sớm (early-onset familial Alzheimer's disease)
    • Gen ApoE4 (apolipoprotein E4), làm tăng nguy cơ tim mạch

Các biện pháp có thể làm bịnh lẫn dementia xuất hiện chậm hơn:

1) Giữ gìn sức khỏe tim mạch: kiểm soát áp huyết, đường máu, mỡ trong máu  trong mức tốt. Tránh hút thuốc.

2) Vận động thường xuyên, tránh ngồi nhiều. Ngoài tác dụng tăng thể lực, giảm khả năng té ngã nhờ giữ thăng bằng tốt hơn, thể dục thể thao còn kích thích sản xuất tế bào thần kinh mới.

3)Giao thiệp, kết nối xã hội để giúp các kết nối về trí nhớ trong não bộ; tình trạng bị cô lập, thiếu đời sống xã hội có thể tác dụng gây trầm cảm, giảm áp huyết cao, giảm bịnh động mạch vành, (coronary artery) là những yếu tố làm bịnh lẫn dễ xảy ra hơn.

4) Ăn thức ăn hợp với sức khoẻ: rau cải, trái cây, dầu thực vật, ăn nhiều cá, giảm ăn thịt đỏ, giảm thức ăn chế biến. Cần cung cấp đủ vitamin (thức ăn tươi, trái cây, viên vitamin bổ sung).

5) Hoạt động trí óc: đọc sách, sáng tác, đánh cờ, tham gia hoạt động thiện nguyện kích thích trí nhớ, khả năng quyết định , phán xét, có thể kích thích tế bào thần kinh mới (thay thế tế bào bị hư hại) và củng cố, thiết lập những kết nối mới giữa các tế bào thần kinh. Người nói nhiều thứ tiếng bị lẫn chậm hơn.

6) Giảm stress, thiền định (meditation).

 

Các loại thuốc dùng cho Bệnh Alzheimer (4):

Cơ quan Quản lý Thực phẩm và Dược phẩm Hoa Kỳ (FDA) đã phê chuẩn  hai loại thuốc

 - thuốc ức chế cholinesterase (Aricept®, Exelon®, Razadyne®)

- và memantine (Namenda®)

 để điều trị các triệu chứng về nhận thức (cognitive symptoms; vd mất trí nhớ, nhầm lẫn và các vấn đề về suy nghĩ và lý luận) của bệnh Alzheimer.

Khi bệnh Alzheimer tiến triển, các tế bào thần kinh chết và các kết nối giữa các tế bào bị mất, khiến các triệu chứng về nhận thức trở nên tồi tệ hơn. Mặc dù các loại thuốc hiện nay không thể ngăn chặn thiệt hại mà Alzheimer gây ra cho các tế bào não, chúng có thể giúp giảm bớt hoặc ổn định các triệu chứng trong một thời gian giới hạn bằng cách ảnh hưởng đến một số hóa chất liên quan đến việc mang thông điệp (messaging) giữa các tế bào thần kinh của não. Bác sĩ đôi khi kê toa cả hai loại thuốc cùng với nhau.

A)Thuốc cho giai đoạn sớm đến trung bình

Tất cả các loại thuốc được chấp nhận để điều trị các triệu chứng Alzheimer ở ​​giai đoạn sớm đến trung bình thuộc nhóm gọi là "thuốc ức chế cholinesterase" , để chữa các triệu chứng liên quan đến trí nhớ, suy nghĩ, ngôn ngữ, phán đoán và các quá trình suy nghĩ khác.

Các "chất ức chế cholinesterase" ngăn chặn sự phân hủy của acetylcholine, một chất hóa học dùng để gởi tín hiệu giữa các tế bào, quan trọng cho việc học và trí nhớ. Do đó mức acetylcholine sẽ được giữ cao hơn.

Thuốc làm các triệu chứng xuất hiện chậm hơn hoặc tiến triển chậm hơn. Hiệu quả thay đổi từ người này sang người khác.

Nhìn chung thuốc được dung nạp tốt. Tác dụng phụ có thể xảy ra: buồn nôn, nôn, chán ăn và tăng tần suất đi tiêu.

Ba chất ức chế cholinesterase thường được dùng:

1)Donepezil (được bán dưới tên Aricept), được chấp thuận để

điều trị tất cả các giai đoạn của bệnh Alzheimer.

2)Galantamine (Razadyne), được chấp thuận cho các giai đoạn từ nhẹ đến trung bình.

3)Rivastigmine (Exelon), cũng được phê duyệt cho bệnh Alzheimer nhẹ đến trung bình, mất trí nhớ nhẹ đến trung bình liên quan đến bệnh Parkinson.

B)Thuốc cho giai đoạn từ trung bình đến nặng

Memantine (Namenda) và sự kết hợp giữa memantine và donepezil (Namzaric®) được FDA chấp thuận để điều trị bệnh Alzheimer trung bình đến nặng.

Memantine được quy định để cải thiện trí nhớ, sự chú ý, lý trí, ngôn ngữ và khả năng thực hiện các nhiệm vụ đơn giản. Có thể được sử dụng một mình hoặc với các phương tiện trị bệnh Alzheimer khác. Có một số bằng chứng cho thấy những người mắc bệnh Alzheimer trung bình đến nặng đang sử dụng chất ức chế cholinesterase, sử dụng thêm memantine có thể có ích. Một loại thuốc kết hợp memantine và chất ức chế cholinesterase có sẵn trên thị trường.

Tác dụng của memantine:

    • Điều chỉnh hoạt động của glutamate, một hóa chất liên quan đến xử lý thông tin, lưu trữ và truy cập (retrieval).
    • Cải thiện chức năng tinh thần và khả năng thực hiện các hoạt động hàng ngày cho một số người Có thể gây ra tác dụng phụ, bao gồm đau đầu, táo bón, nhầm lẫn và chóng mặt.(3)

Thuốc mới cho Bệnh Alzheimer.(5)

Các thuốc kể trên được xem chỉ có mục đích làm giảm các triệu chứng của bệnh. Thuốc mới tên aducanumab (tên thương mại là ADUHELM) của nhà thuốc Mỹ Biogen, được truyền vào tĩnh mạch (IV infusion) trong 1 giờ và chích 4 tuần một lần, và theo Biogen giá tiền 56 ngàn đô la Mỹ cho một người bệnh dùng trong một năm.

Các sự kiện bất lợi (adverse events) thường gặp: (6)

-Hầu hết không có triệu chứng nhưng có thể gây nhức đầu, lú lẫn, chóng mặt, thay đổi thị lực hoặc buồn nôn.

-Đau đầu

-Té, ngã

-Bệnh tiêu chảy

-Lú lẫn / mê sảng / trạng thái tâm thần thay đổi / mất phương hướng.

Một số người đề nghị gíá $ 2500-8000 cho mỗi năm thì mới “đáng đồng tiền bát gạo’ (cost effective).

Có lẽ chương trình bảo hiểm cho người già Medicare sẽ trả tiền cho thuốc này và các công ty bảo hiểm tư sẽ bị áp lực để phải trả tiền không ít thì nhiều.

Thuốc là một kháng thể đơn dòng (monoclonal antibodies) được chế tạo trong phòng thí nghiệm, để nhắm vào các cụm amyloid-beta, và bám vào các phân tử này, gây ra một phản ứng của hệ miễn nhiễm tấn công phá hủy các cụm amyloid-beta (Selectivity for aggregated forms of Aβ plaques & causing reduction of these plaques in the brain)

Thuốc  không có mục đích chữa dứt bệnh (cure) , hoặc đão ngược các triệu chứng nhưng hy vọng sẽ là bệnh tiến triển chậm hơn, làm người bệnh không mất thêm các khả năng hiểu biết hoặc mất ở mức độ chậm hơn (slowing cognitive deterioaration)  căn cứ trên bằng chứng cho thấy nó làm giảm số lượng amyloid -beta trong não bộ. FDA cũng giới hạn việc chuẩn thuận này bằng cách buộc Biogen phải nghiên cứu thêm về sự hữu hiệu trên thực tế lâm sàng (clinical benefit) sau khi thuốc được tung ra thị trường. Nếu không có lợi y khoa trên thị trường , FDA sẽ rút lại việc chuẩn thuận nói trên. Tuy nhiên việc này cũng sẽ mất nhiều năm mới hy vọng ngả ngũ. Ngược lại FDA cũng như các nhóm làm áp lực  cho FDA chuẩn thuận cho biết họ không muốn người bệnh phải đợi lâu hơn nữa nếu chúng ta tiếp tục giới hạn thuốc trong các cuộc thử nghiệm lâm sàn (clinical trial) mà đại đa số  của trên 6 triệu bệnh nhân Alheimer Mỹ không được tham gia và không được bảo hiểm trả tiền để tham gia. (5))

 

 

Vaccin chống bệnh Alzheimer:

Trong chừng 20 năm nay, người ta đi tìm những phương pháp chữa bịnh Alzheimer bằng cách kích thích hệ miễn dịch chống lại amyloid beta và protein  tau.Tuy nhiên chưa có kết quả áp dụng được trên người bịnh vì không an toàn. Gần đây nhất, hãng United Neuroscience do nữ khoa học gia gốc Đài Loan,  TS Chan Y Wang sáng lập, đang thử nghiệm lâm sàng trên mấy chục người bệnh một loại thuốc mới được đặt tên là “endovaccine” hay “endobody vaccine” (nội-vacxin , hay nội chủng?). Trái với những thuốc chủng ngừa truyền thống như vaccine ngừa cúm, bịnh bại liệt, endovaccine chống lại một chất có sẵn trong cơ thể người bệnh. Trong bệnh Alzheimer, endovaccine  UB311 gồm một đoạn protein ngắn (polypeptide) của protein beta amyloid là chất độc thủ phạm gây tác hại trên tế bào thần kinh. Chích vào cơ thể người bịnh, người bịnh sẽ sản xuất ra một chất kháng thể chống lại và phá huỷ beta amyloid, và quan trọng hơn hết không gây phản ứng viêm có thể làm nguy hại cho não bộ. Khảo cứu thực hiện gần 10 năm nay, và công bố mới nhất hồi tháng 3 năm 2019 cho thấy hệ miễn nhiễm 96% bệnh nhân có đáp ứng và có dấu hiệu cải thiện kết quả các test về hiểu biết và chức năng (cognitive and functional tests).

Tuy nhiên, UB 311 còn trong giai đoạn 3 thử nghiệm lâm sàng và không biết cuối cùng bao giờ thuốc mới được chấp nhận.(10) United Neuroscience nay đã trở thành Vaxxinity đang nghiên cứu sản xuất vắc xin chống Alzheimer, bệnh Parkinson, và đáng chú ý hiện nay  là Covid-19 (vaccine [chống covid] UB-612 của Covaxx vẫn còn đang trong thời kỳ  thí nghiệm lâm sàng/clinical trial tại Đài Loan, nam Mỹ và nhiều nơi khác).(10)

Một khảo cứu khác của Thụy Sĩ đang nhắm vào các phân tử pTau (phosphorylated Tau protein); văc xin làm cho cơ thể sinh ra kháng thể chống các pTau này. (ACI-35.030, a potent liposomal anti-pTau vaccine, is engineered to elicit antibodies against phosphorylated pathological Tau protein) (11)

Tóm lại, dementia, dịch theo nghĩa đen là bệnh "mất trí", thường được gọi là “bịnh lẫn”, bao gồm nhiều mặt của đời sống tinh thần và trí tuệ chứ không phải chỉ làm mất trí nhớ.

Nguyên nhân chính gây ra dementia  là bệnh Alzheimer, tuy nhiên có nhiều bệnh khác có thể gây ra dementia. Hiện nay chưa có trị liệu pháp hay thuốc men chữa hết bệnh Alzheimer . Những thuốc dùng hiện nay chỉ giúp giảm hay trì hoãn triệu chứng trong thời gian ngắn. Endo vaccine hứa hẹn nhưng chưa được dùng ngoài thị trường. Các biện pháp bảo vệ sức khỏe não bộ như bảo vệ sức khỏe tim mạch, thể dục thể thao, dinh dưỡng tốt, tránh rượu, thuốc lá có thể làm dementia xuất hiện chậm hơn.

 

Bác sĩ Hồ Văn Hiền

Ngày 14 tháng 6 năm 2021

 

References:

1)Theo Từ điển Y học Dorland

2)https://emedicine.medscape.com/article/336281-overview?src=ppc_google_rlsa-traf_mscp_emed_t1_us&gclid=CjwKCAiA8ejuBRAaEiwAn-iJ3qJ7zFJ4mRE7Geut_W-X_b0clLtcso1pY2DcsVPg3wug5fiZHKH5bRoC3LcQAvD_BwE

3)https://qbi.uq.edu.au/brain/brain-diseases/dementia/alzheimers-disease

4) https://www.alz.org/alzheimers-dementia/treatments/medications-for-memory

5)https://www.washingtonpost.com/health/2021/06/07/fda-approves-alzheimers-drug-aducanumab/

6)https://psychiatryeducationforum.com/aducanumab-new-medication-fda-approved-for-alzheimers-disease/

7)https://alzheimersnewstoday.com/ub-311-vaccine-alzheimers-beta-amyloid-protein/

8)Disease-modifying drugs in Alzheimer’s disease

https://www.ncbi.nlm.nih.gov/pmc/articles/PMC3862506/

9)Alzheimer's disease is a 'double-prion disorder'

Self-propagating amyloid and tau prions found in post-mortem brain samples, with highest levels in patients who died young

https://www.sciencedaily.com/releases/2019/05/190501153358.htm

10)https://www.biospace.com/article/releases/covaxx-and-united-neuroscience-are-now-vaxxinity/

11)https://www.biospace.com/article/ac-immune-s-alzheimer-s-vaccine-shows-promise-in-early-stage-trial/#:~:text=ACI%2D35.030%20is%20a%20potent,%2C%20beta%2Damyloid%20and%20pTau.

Thống-Kê Vào Làng

Viet Nam 49.2% Viet Nam
United States of America 23.0% United States of America
Italy 10.4% Italy
Germany 8.3% Germany
Canada 2.6% Canada
Australia 1.4% Australia
France 1.0% France

Total:

69

Countries