Tứ Chứng Nan Y
“Thưa Bác sĩ
Tôi ở một xã nhỏ gần An Nhơn, tỉnh Bình Định.
Trước nay người thôn làng chúng tôi hay nói thành vần 4 chứng bệnh không chữa được là "phong, lao, cổ, lại – bốn chứng nan y, thầy thuốc bỏ đi, trống kèn kéo tới."
Tôi hiểu phong là cùi và lao là ho lao. Còn hai bệnh kia tôi không biết.
Xin Bác sĩ nói sơ qua về bốn chứng nan y này. Ngày nay, thầy thuốc còn bỏ đi khi gặp bốn chứng này nữa không?
Cảm ơn Bác sĩ".
Bác sĩ Hồ Văn Hiền trả lời:
Cảm ơn vị thính giả đã đặt câu hỏi thú vị, tuy khó trả lời.
Câu trả lời giản dị là phong là bịnh phong, theo tiếng Việt hiện nay, là bịnh cùi (leprosy), hay còn gọi là bịnh Hansen, do bác sĩ Gerhard Henrik Armauer Hansen, người Na Uy tìm ra năm 1873. Đấy là lần đầu tiên, người ta tìm ra một vi trùng là nguyên nhân gây ra một bịnh nhiễm.

Hình 1: Một bịnh nhân bịnh cùi nặng ở Na Uy (1886)(Source : Wikipedia)

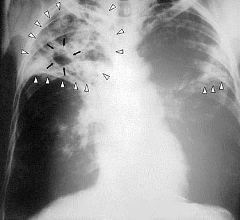
Hình 2: X quang của bịnh nhân bị lao phổi (pulmonary tuberculosis). Các mũi tên trắng chỉ vùng "nám phổi"(pulmonary opacities), mũi tên đen chỉ nơi phổi bên phải bị lũng (cavity).(Source: wikipedia)
Lao được hiểu theo nghĩa phổ thông là bịnh lao (tuberculosis), do con vi khuẩn hình que (bacillus), được bác sĩ Robert Koch người Đức, tìm ra năm 1882. Về phần "cổ" có nghĩa là bịnh sưng bụng do ứ nước (ascites), trong chữ Hán "cổ" viết gần giống như chữ cổ nghĩa là cái trống, không biết có phải người xưa thấy cái bụng báng nước giống cái trống hay không. Một số tác giả tiếng Việt giải thích là xơ gan cổ trướng, và xem chữ “cổ” ở đây có nghĩa là xơ gan (cirrhosis). Về chữ "lại", đa số các bài viết từ Việt Nam giải thích là ung thư (cancer). Vậy thì thông thường, nan y tứ chứng mà chúng ta bàn ở đây là bịnh Hansen , bịnh lao, bịnh xơ gan, và bịnh ung thư.
Về câu hỏi là hiện nay, thầy thuốc (tôi chỉ bàn đến tây y mà thôi) có còn bỏ đi khi gặp các bịnh này không thì dứt khoát câu trẻ lời là không.
1) Bịnh Hansen (cùi) có thể chữa được bằng kháng sinh, bịnh lao cũng vậy.
2) Bịnh xơ gan có thể chữa để bịnh tiến triển chậm lại, giảm các triệu chứng, cho người bịnh bớt khổ sở đi.Ví dụ người nghiện rượu bị xơ gan vì rượu cần được chữa trị để cai rượu; người bị xơ gan không phải do alcohol (non alcoholic fatty liver disease) mà do quá mập phì cần được giúp giảm cân và kiểm soát cho đường máu đừng lên quá cao.
Người bị viêm gan do vi rút (viral hepatitis) có thể dùng thuốc chống vi rút viêm gan (B, C) lúc cần, để ngăn chặn biến chứng. Người xơ gan (cirrhosis) do mật ứ đọng trong gan có thể được chữ với thuốc là cho bịnh tiến triển chậm lại, tránh cho những triệu chứng không xuất hiện.
Người xơ gan nặng có thể được thoải mái hơn nhờ các thuốc lợi tiểu (diuretic), thuốc hạ áp huyết, theo dõi tình trạng cơ năng gan và khả năng xuất hiện ung thư gan, chữa những triệu chứng của bịnh não bộ do bịnh gan gây ra. Biện pháp cuối cùng nếu gan không làm việc được là ghép gan mới (từ xác chết hoặc người cho sống ( liver transplant)).

Hình 3: Bịnh nhân bị nước ứ trong phúc mạc (ascites) và vàng da (jaundice) do xơ gan (cirrhosis).(Source: documenting reality.com)
3) Chúng ta nên nhớ có rất nhiều bịnh ung thư khác nhau và cách chữa trị mỗi thứ một khác. Nói chung dùng hoá trị liệu, xạ trị, giải phẫu, phóng xạ, vvv Trong nhiều trường hợp kết quả
tốt, và có thể trị dứt bịnh. Hiện nay, chúng ta có thể ngừa ung thư phổi bằng cách đừng hút thuốc lá, ngừa ung thư gan bằng cách chích ngừa viêm gan B, ngừa ung thư cỗ tử cung (cervical cancer) và một số ung thư đầu và cỗ bằng cách chích ngừa siêu vi u nhú (Human Papilloma Virus/ HPV; vaccines: Gardasil or Cervarix), ngừa ung thư da bằng cách tránh các tia tử ngoại (ultraviolet light).

Hình 4: Các triệu chứng của ung thư máu (leukemia) có thể không rõ rệt như ăn không ngon, nóng sốt, mồ hôi "trộm" ban đêm, mệt mõi, khó thở, đau nhức xương khớp, sưng gan, sưng hạch, da bầm hay nổi lấm tấm màu tím.
Đoạn trên tôi có nói đây là một câu hỏi khó trả lời. Bây giờ chúng ta bàn thêm về vài chi tiết mà tôi thấy khá thú vị. Thứ nhất câu này là một câu tục ngữ đã xưa, có thể đúng với thời cách đây mấy trăm năm hoặc trước đó.
Đúng cho thời y khoa tiền khoa học, tiền hiện đại vì bốn từ "phong, lao, cổ , lại/ hay lỵ"có lẽ đã có hàng ngàn năm trong lịch sử y khoa Đông Phương (phần lớn là y khoa Tàu) chúng ta. Đây chỉ là những từ xưa, cổ, chỉ những triệu chứng hay hội chứng với mà trình độ y học thời đó, người ta ghi nhận được.Tôi tham khảo một số từ điển và bài viết từ trong nước, và nhận thấy rằng trong chữ Hán chữ phong không bao giờ có nghĩa là phong cùi hay bịnh ngoài da tương tự như triệu chứng bịnh phong cùi.Chữ Hán "phong"có nghĩa là bịnh điên. Theo google translate, bịnh điên được dịch là "phong cuồng". Ngược lại,"lại" theo chữ Hán có nghĩa "phung, cùi" hay ít ra, bịnh ngoài da có vẻ như bịnh cùi 9leprosy) thật sự theo quan điểm hiện nay. Theo tự điển "Giúp Đọc Nôm Và Hán Việt" của Linh mục Trần Văn Kiệm (Zieleks Company xuất bản, 1997),một trong những nghĩa của "lại" là (1) Bịnh cùi hủi,(2) Giống cùi hủi; và đưa ra ví dụ "lại cáp mô (con cóc)" và "lại bì cẩu (chó ghẻ)".
Theo một bài viết trên báo "Y học dự phòng" (23 th5, 2013): Trong sách Sử ký, ở phần Dự Nhượng truyện có câu: “Dự Nhượng hựu tất thân vi lại, thôn thán vi ách, sử hình trạng bất khả tri” (豫讓又漆身為厲, 吞炭為啞, 使形狀不可知), nghĩa là Dự Nhượng lại bôi sơn vào mình làm như người bệnh hủi, nuốt than cho mất tiếng, để khỏi ai nhận ra hình tích của mình.” Có nghĩa rằng trong tiếng Hán Việt xưa, lại chỉ một bịnh với những lở lói ngoài da.
Bịnh lở lói ngoài da có thể là bịnh cùi (bịnh Hansen) mà cũng có thể do những nguyên nhân khác. Như trong bịnh pellagra do thiếu vitamin niacin (vitamin PP) cũng có thể gây da lở loét, triệu chứng thần kinh và tâm thần , điên loạn (dementia). Bịnh Hansen được chữa trị sớm và đàng hoàng có thể khỏi hẳn (dapsone, rifampicin, clofazimine). Bịnh pellagra chữa bằng nicotinamide (tương tự như vitamin PP).
Bịnh giang mai (syphilis) do vi khuẩn Treponema pallidum (khám phá năm 1905) có thể gây những triệu chứng ngoài da, làm biến dạng khuôn mặt (gummatous syphilis) và triệu chứng thần kinh.
Nếu chữa trị sớm bằng Penicillin kết quả rất tốt.
Ngoài ra, một số người cho rằng “lại” có thể đọc là "lỵ" [痢] , như trong bịnh kiết lỵ, nghĩa là bịnh đi cầu ra máu, nhớt, tiêu chảy, mà theo y học hiện nay có thể do nhiều nguyên nhân khác nhau. Bịnh "lỵ" có thể do nhiễm vi khuẩn đường ruột như shigella, hay ký sinh trùng (to hơn vi trùng) a-míp. Những bịnh này ngày nay được định bịnh chính xác bằng cách cấy phân và xem xét tìm a míp trong phân và đựoc điều trị dễ dàng bằng thuốc kháng sinh hay thuốc chống a míp. Tuy nhiên ngày xưa, không có thuốc men hiệu nghiệm, và nhất là dinh dưỡng đa số bịnh nhân kém, bịnh nhân khó hồi phục, có thể chết vì suy dinh dưỡng, nhiễm trùng lan rộng. Nếu thầy thuốc ngày xưa "chào thua" thì cũng không có gì là lạ, và bịnh cũng xứng đáng danh hiệu "nan y".
Riêng về bịnh đường ruột, có thể kể ra đây một nhóm khác hai nhóm trên nhưng khó định bịnh và khó chữa là những bịnh viêm ruột mãn tính gồm bịnh viêm loét đại tràng (ulcerative colitis) và bịnh viêm ruột Crohn (Crohn disease, regional enteritis), cả hai đều gây tiêu chảy,đau bụng, mệt mõi, sụt cân và có thể có biến chứng chết người. Tuy không chữa dứt được, nhờ thuốc men chống viêm và biến đổi hệ miễn nhiễm) và giải phẫu nếu cần, có thể giúp bịnh nhân hầu như không có triệu chứng hoặc ít lắm thì cũng giảm được nhiều các triệu chứng.
Hiện nay chúng ta hiểu "ung thư" (cancer) là sự sinh sản hổn loạn không kiểm soát của một số tế bào bất bình thường.Theo tự điển của linh mục Trần Văn Kiệm, "ung là cái nhọt", "thư" là mụt bọc có rễ sâu, ung thư là "mụn loét", hiểu theo nghĩa Hán Việt xưa. Cho nên không thể dùng danh từ "ung thư" hiện đại để ghép vào "tứ chứng" nan y của các cụ ngày xưa được, lúc mà người ta chưa hiểu tế bào là cái gì. Thật ra, người Tàu không gọi "cancer" là ung thư, mà dùng chữ "độc lựu hoặc "nham" (theo TVK).
Cuối cùng, theo nghĩa chữ Hán, "lao" có nghĩa là hao mòn. Bịnh lao do Mycobacterium tuberculosis với những triệu chứng đặc thù như sưng phổi (pneumonia), hang trong phổi (pulmonary cavities), sưng màng óc (meningitis), vv là những ý niệm của y khoa thời thế kỷ 20 trở đi. Lao theo nghĩa chung chung là "hao mòn" có thể do nhiễm trùng khác, ung thư, bịnh thần kinh đúng là nan y nếu không có những phương tiện chữa trị theo khoa học hiện đại. Tuy nhiên , theo tôi nghĩ, đừng hiểu lầm các cụ ngày xưa, và gán nghĩa mới cho lời người xưa.
Nói tóm lại "tứ chứng nan y" có lẽ gốm phong là bịnh tâm thần, lao là hao mòn, suy nhược, kể cả trường hợp do nhiễm vi khuẩn bịnh lao, cổ là cổ trướng, bụng sưng to, có thể do tràn dịch màng bụng vì xơ gan, lại có thể là bịnh lở loét, ngoài da mà bịnh cùi có thể là một nguyên nhân. Hiện nay, những bịnh này đa số chữa trị có kết quả tốt. Số ít bịnh chưa trị được hết hẳn bịnh, vẫn là "nan y", nhưng cũng được bác sĩ săn sóc để bớt triệu chứng, phẩm chất cuộc sống tốt hơn.
Bác sĩ Hồ Văn Hiền
Ngày 21 tháng 3 năm 2015
Ngày 4 tháng 6 năm 2015 (edited for Langhue.org)













